Professional Dental Care You Can Trust in Sachse, TX - LiT Dental

LiT Dental offers gentle, expert care from fillings and cracked tooth repair, crowns, and implants, root canal, cosmetic and pediatric dental treatments – affordable dental care solutions for patients in Sachse, TX.

Texas Cities

teeth treatment image in Lit Dental Clinic

How Can We Help

If you need any help, please feel free to contact us.
Contact Us

LiT Dental provides affordable braces, Invisalign, and clear aligners to correct uneven teeth of patients in Sachse, TX.

Reliable, Pain-Free Dental Care in Sachse, TX

When you ask, “What’s the quick way to relieve a toothache?” or “Where can I find the best dentist in Sachse?” We hear you loud and clear. At LiT Dental, we are ready to provide your family with the dental care they need in one location. 

Our advanced dentistry techniques, affordable options, and efficient results make us a trusted choice for dental solutions. From routine checkups and dental emergencies to fixing crowns and bridges, our experienced dentist, Dr. Vaqar, handles it all.

“Does insurance cover my dental visit expenses?” is the most common question people ask. We accept all dental insurance and offer flexible financing options, with 50% off your first visit to our clinic. Reach out to us today.

General, Restorative, Pediatric, & Emergency Dentistry Services in Sachse, TX

Restore and protect your smile with our expert family and cosmetic dentistry services in Sachse, TX.

Dental Exams & Deep Teeth Cleaning in Sachse, TX

Regular dental exams are where your dental journey begins. Deep teeth cleaning is crucial to keep your teeth cavity-free and gums strong. You can stay ahead of dental issues with thorough dental exams and cleanings.

Affordable Dental Fillings Options for Patients in Sachse, TX

For cavities, tooth sensitivity, and small fractures, our tooth filling dentist in Sachse uses high-quality composite material to restore teeth. Our fillings are tooth-colored and blend completely with your natural teeth.

Dental Bridges & Crowns Dentist in Sachse, TX

Dental crowns are protective coverings placed over damaged or treated teeth to improve strength and appearance. With our CEREC Crowns in Sachse, you can fix your damaged or cracked tooth in just one visit.

Dental bridges are used to replace missing teeth when you have one or more missing teeth. Whether you need dental fillings or crowns or are looking for dental bridges near me, we offer personalized solutions for your unique oral health needs.

Wisdom Tooth Extraction – Sachse, TX

When a tooth is too damaged and can’t be repaired with a root canal or other methods, we offer painless tooth extractions in Sachse. With digital scans and modern tools, we ensure a smooth procedure and fast healing.

Affordable Dentures & Dental Implants Specialist in Sachse, TX

Are you worried about your missing teeth? Get your confident smile back with our expert tooth replacements that feel like your natural teeth.

  • Dentures – a convenient option to replace missing teeth, which you can remove anytime you want.
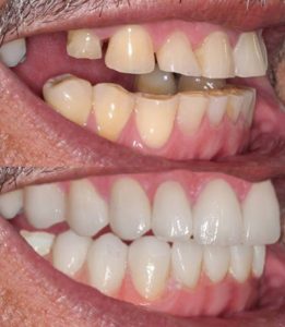
  • Dental implants – a permanent fix for those who don’t want dentures like Michael, who had his molars removed and was facing chewing difficulty. Dr. Vaqar scanned the area and placed the implant carefully in the jaw. After the healing period, a CEREC crown was placed over the implant to ensure a more natural look. Michael got his confidence back in just a few weeks.
A Sachse patient got restored their missing molars with a dental implant and CEREC crown at LiT Dental

LiT Dental Provides Pain-Free Root Canal Treatment – Sachse, TX

Have severe tooth pain or can’t eat or drink hot or cold? You might have an infected tooth. Our root canal dentist in Sachse can quickly eliminate pain, protect your natural tooth, and remove all damaged parts. Using digital imaging and modern tools, Dr. Vaqar evaluates your damaged tooth and ensures effective root canal therapy, followed by a CEREC crown, with efficient same-day treatment options available. 

Our cosmetic dentist will listen to you, evaluate your teeth’s condition, and suggest a suitable option to give you the smile you’ll love to show off.

Professional Teeth Whitening in Sachse, TX

Do you want to brighten up your smile? We can help with our professional teeth whitening treatments. Whether you are worried about stubbornly stained teeth or need to repair chipped teeth in Sachse, we have effective cosmetic solutions.

Our cosmetic dentist in Sachse will listen to you, evaluate your teeth’s condition, and suggest a suitable option to give you the smile you’ll love to show off.

Wisdom Tooth Extraction in Sachse, TX

When a tooth is too damaged and can’t be repaired with a root canal or other methods, we offer painless tooth extractions in Sachse. With digital scans and modern tools, we ensure a smooth procedure and fast healing.

Sachse Parents trust LiT Dental for the best kids dental treatments from an expeienced dentist

Dental Sealants for Kids in Sachse, TX

Children love candies and treats, which can lead to cavities and bacteria settling in. But you don’t need to worry because we have advanced solutions to protect your kid’s teeth. With gentle cleanings and fluoride treatments for Sachse Kids, we ensure cavity-free and healthy little smiles.

Are you stressed about your child’s first dental visit? LiT Dental makes dental visits stress-free and fun, so your child will feel relaxed, happy, and excited about the next one.

Emergency Dental Care in Sachse, TX

“I have a toothache; how can I stop the pain?” We got you. Our dentist is ready to provide fast and effective relief, whether you have a dental injury or bleeding gums. Emergency same-day appointments are available to provide you with the best dental care in Sachse whenever you need it most.

Trusted Orthodontist in Sachse, TX

Ever thought, “How can I straighten my teeth without braces?” We offer a discreet treatment option to align your teeth without the hassle of braces – Invisalign. Whether you are a teenager or an adult worried about your gapped teeth, our orthodontic treatments ensure a more natural look.

Moreover, we offer traditional, clear braces for all ages, followed by retainers to maintain symmetrical teeth for years to come.

Why Pateints in Sachse, choose LiT Dental for Reliable Dental care?

Sachse residents can get Complete dental care with budget-friendly treatment options at LiT Dental

Schedule your appointment today!

Whether you are looking for a kid’s dentist near me or need urgent dental care, LiT Dental is ready to help. We have a skilled dentist, modern dentistry, and 14+ years of experience in keeping the smiles young and teeth healthy. Contact us today.